close
由於前二天的颱風天 台北市停止上班上課 加上 我還是得要上班
於是乎拖到今天才跟小bb第一次見面
一進診所 整個人都緊張了起來
很害怕上週日 自己驗出來的那二條線是假的
好加在 在診所驗的結果跟上週自行驗的結果是一樣滴.....開心
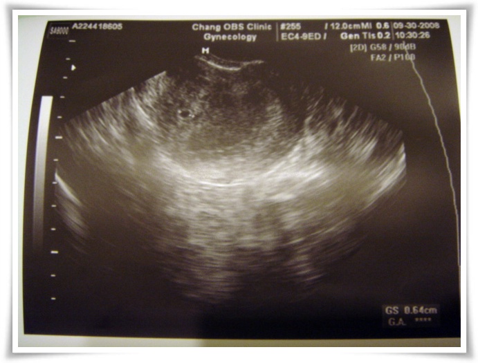
這時的小bb 還只是個小胚胎 相信過一陣子 他就是個胎兒了
醫生說~他的形狀不漂亮
著實讓我嚇了一大跳 心情也開始低落了起來
張醫師 你一定要那麼老實嗎?? 人家心情好糟喔!!
但~我還是要保持愉悅的心情 小bb才會健健康康地成長
加油~ 媽咪等你出來 要陪著你一起成長 看著你健康長大喔!!!!
憑著這張醫師診斷書 才可免除值夜班的困擾
謝謝你!! 小bb托你的福喔~
黃色小藥丸
葉酸 紅白色小藥丸
B12 白色小藥丸
安胎藥
本次看診費用.......$1,070
走到公車站牌 看到一遍綠油油的草地及樹木 心情好了些
現在的我只能祈求老天爺 別再跟我開玩笑了
讓我們小bb健康成長吧!!
全站熱搜

留言列表